“多亏了床旁超声快速诊断,不然我这命可能就保不住了!”
近日,在延安市中医医院(北京大学第三医院延安分院)重症医学科康复出院的79岁患者仍心有余悸,声音中满是劫后余生的庆幸。在重症医学科,像这样依靠重症超声技术重获新生的病例,已成为科室日常救治工作中的典型写照。这一技术凭借其独特优势,在急危重症的诊疗过程中发挥着关键作用,一次次为患者点亮生命的曙光。
精准判断,揪出隐匿致命病因
79岁患者入院时,情况不容乐观。她端坐呼吸,气喘吁吁,根本无法平卧,血气分析显示Ⅰ型呼吸衰竭,而胸部CT虽发现双肺肺水肿伴部分膨胀不全、双侧胸腔积液,但这些症状背后的病因却依旧如同迷雾,难以捉摸。
重症医学科团队迅速响应,启动重症超声评估流程。肺超示双肺对称B线、右肺下叶支气管充气征,排除气胸,与胸CT结果相符;心超见右房、右室增大,D字征,肺动脉高压伴少量心包积液;双下肢静脉超声无异常;心肌酶谱阴性。
综合各项检查结果,重症医学科团队剥茧抽丝,最终锁定病因——急性肺栓塞(中高危)合并急性心力衰竭。医护人员立即为患者实施无创呼吸辅助呼吸,同时给予充分抗凝、积极进行心衰等一系列针对性治疗措施。经过8天的精心治疗与护理,患者病情逐渐好转,顺利出院。
争分夺秒,识别突发危机病症
“超声就像医生的‘透视眼’,在最关键的时刻让我们迅速发现问题,及时采取措施,为患者争取到了宝贵的救治时间。”
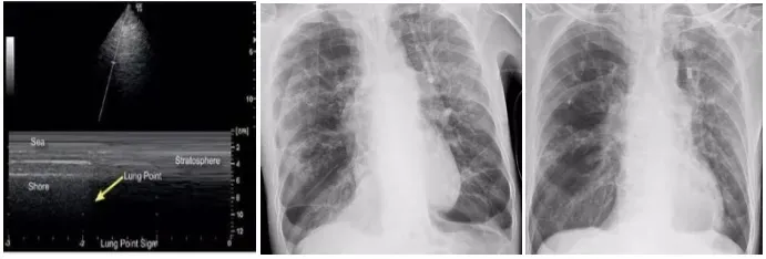
67岁的患者因“心前区疼痛1天”入院,被诊断为冠状动脉粥样硬化性心脏病、急性前壁心肌梗死,心功能Ⅳ级,同时还伴有慢性阻塞性肺疾病急性加重期以及慢性肺源性心脏病,病情复杂危重。入院后,患者因心衰加重转入重症医学科,持续接受无创呼吸机辅助呼吸。经过一段时间的治疗后,患者的病情突然恶化,气短症状急剧加重,同时伴有胸部憋闷、口唇发绀等症状。复查血气分析显示,其P02降至46mmHg,情况万分危急。重症医学科团队迅速行动,立即为患者进行气管插管并使用呼吸机辅助呼吸,随后紧急开展床旁肺部超声检查。检查结果显示,高卧位下右肺第二肋间胸膜滑动症消失,呈现出平流层征——这是典型的气胸表现。

明确病因后,医护人员迅速调整呼吸机参数,给予高浓度氧疗。经过紧张的救治,当晚复查床旁肺部超声,惊喜地发现高卧位右侧第二肋胸膜滑动症重新出现,这意味着气胸情况得到了改善。第二天复查胸片,结果显示右侧气胸较前明显吸收,患者脱离了生命危险。
技术护航,突破复杂救治难题
在重症医学科接受治疗的73岁患者,因“突发昏迷伴呕吐3小时”入院,被确诊为蛛网膜下腔出血。考虑患者体重高达110Kg,且血管条件差,这给常规的深静脉置管和PICC置管操作带来了很大的困难和风险。面对这一情况,重症医学科团队充分发挥重症超声技术的优势,在床旁超声的精准引导下,小心翼翼地为患者实施深静脉置管术和PICC置管术。整个操作过程中,超声就如同导航仪一般,帮助医生清晰地观察血管位置和走形,成功避开了可能出现的风险,确保了置管的顺利完成。

在后续治疗过程中,由于患者意识较差,肺部廓清能力不足,痰液淤积严重,易引发肺部感染等并发症。为了改善这一状况,医生再次借助床旁超声评估气道情况,在其引导下,顺利为患者实施了经皮气管切开造瘘术,建立人工气道,保证呼吸通畅。同时通过动态床旁超声密切监测患者的视神经鞘直径变化,根据测量结果实时调整降颅压方案,确保颅内压始终控制在安全范围内。在重症超声技术的护航下,患者的病情逐渐趋于稳定,为后续的治疗和康复奠定了坚实基础。
重症医学科主任贺小龙介绍:
“自科室成立以来,始终致力于重症超声技术的引进、推广与应用,不仅配备了先进设备,还选派医护人员培训,组建了专业团队。在多年实践积累下,科室构建起重症超声技术体系,涵盖多部位评估和介入操作引导,已深入诊疗各环节。此外,科室发挥区域引领作用,曾举办了延安市首届重症超声培训班,制定诊治流程,成立培训中心并参与推广项目,让技术在基层广泛应用。
今后,延安市中医医院(北京大学第三医院延安分院)重症医学科将继续秉持‘以患者为中心’的服务理念,深化技术创新应用,提升救治和服务水平,加强科室协作,推动多学科联合诊疗,让重症超声这把‘利刃’在守护生命的道路上绽放更加耀眼的光芒,为更多患者带来新希望。”(姬妍娜)
责编:杜鹏飞
编辑:昂扬
