为进一步提升医院骨科诊疗技术水平,更好的服务广大延安群众,延安市中医医院(北京大学第三医院延安分院)骨科开展“春雨行动——骨关节置换手术援助公益行”,特邀北京大学第三医院关节外科专家来院进行人工髋、膝关节置换手术,目前“春雨行动”招募的前八批次患者已康复出院。

近日,延安市中医医院(北京大学第三医院延安分院)骨科门诊出现了两张年过六旬的面孔,马奶奶、郝奶奶她们俩都是因为膝关节疼痛困扰数年,辗转多家医院寻求保守治疗后,症状缓解不明显,近期症状明显加重,严重影响了正常的行走功能。听闻医院正在开展春雨行动——骨关节置换手术援助公益行活动,且打听到前几批患者关节置换术后下地早,康复快,疼痛轻,遂在家属陪同下前来报名参加公益活动,门诊医师完善检查,评估病情后,收住入院。
入院后,骨科王建伟主任医师组织科室集体讨论,邀请北京大学第三医院关节外科专家团队远程会诊,结合影像学资料,完善相关化验检查,排除了手术禁忌症后,为她们设计了详尽、周密的手术治疗方案。

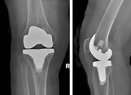
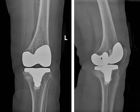
术前准备完善后,北京大学第三医院关节外科专家赵旻暐主任医师来到我院,通过术中定位、截骨、试模、安装膝关节假体等一系列复杂操作,为两位患者先后实施了单侧人工全膝关节表面置换术。由于手术切口较小,疼痛较轻,术后第一天,他们便在医生指导下,手扶助行器迈出了意义非凡的“第一步”。看到患者术后恢复的这么好,家属脸上露出了满意的笑容,对北京专家的诊疗技术称赞不已。
延安市中医医院骨科王建伟主任医师介绍:膝关节骨性关节炎是老年人群最常见的关节退行性疾病,随着人口老龄化的进展,膝关节骨性关节炎的发病率呈明显升高趋势,老年患者膝关节病变相对严重,关节功能受损明显,随着病情的进展可出现关节疼痛、活动度减小、屈伸不利、膝关节及下肢肿胀等。本病呈慢性病程,早期症状相对较轻,保守治疗症状可缓解,但是终末期患者膝关节受损严重,膝关节活动严重受限,且常常伴有剧烈疼痛,无法正常站立行走,严重影响了老年人群的生活质量。

人工膝关节置换术作为膝关节骨性关节炎治疗的手术方法,随着对膝关节生物力学研究的不断深入,膝关节假体设计理念不断更新,人工膝关节置换手术也日趋成熟,通过采用高分子聚乙烯和金属等假体置换受损的关节,可重建膝关节解剖结构,恢复生理解剖构造,对于恢复患者正常行走能力,改善膝关节功能,提升生活质量,有着重要的意义。
此次活动延安市中医医院共招募20名重度髋、膝关节疾病等需手术治疗患者,通过评估后对符合关节置换条件的患者减免人工髋、膝关节材料(假体)费用,助力更多重度髋、膝关节疾病等具有髋、膝关节置换手术指征的患者享受到“春雨行动”的优惠政策和北京专家的优质诊疗技术,“走”出难关,快乐生活。(张博星)
责编:杜鹏飞
编辑:安歌
