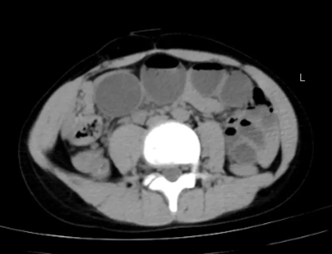
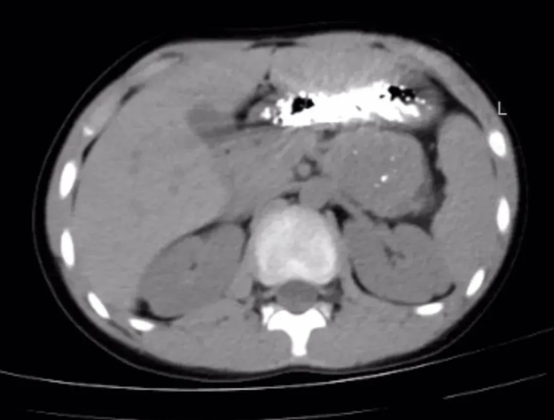
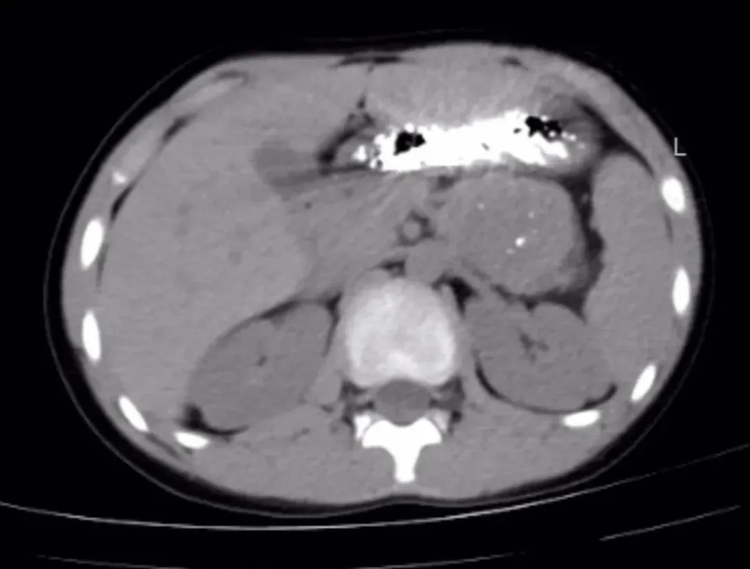
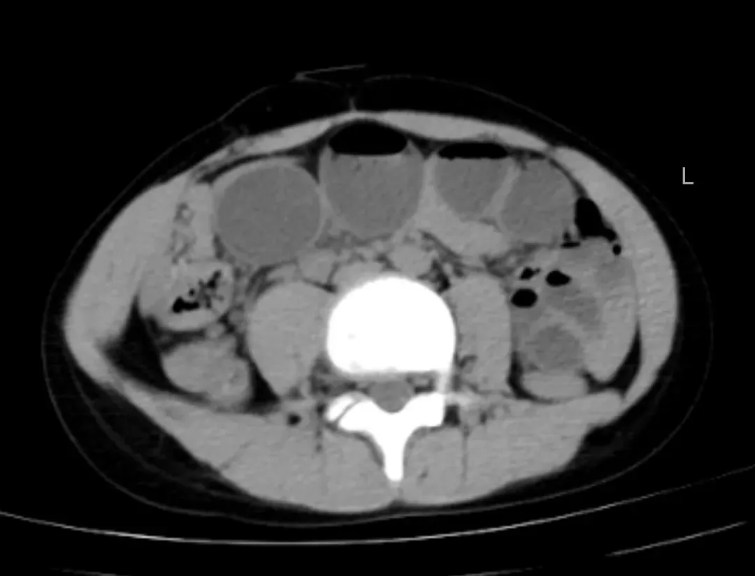
近日,一场由“甜蜜冬枣”引发的健康危机在延安市中医医院(北京大学第三医院延安分院)儿科上演,一名10岁患儿在食用大量冬枣后,突发剧烈腹痛、呕吐伴腹胀,腹部CT提示胃内大量内容物堆积,伴发小肠梗阻征象,情况危急。儿科潘维伟主任与屈晖副主任根据明确的饮食史与影像依据,快速诊断为极为罕见的“植物性胃结石并发肠梗阻”。
入院影像检查
值得注意的是,植物性胃结石常见于食用山楂、柿饼的老年人,由冬枣引发且在儿童中发生者极为罕见,本例患儿还继发了小肠梗阻,病情更为复杂,对诊疗团队的判断与决策提出了极高要求。面对挑战,儿科屈晖副主任与内镜检查治疗中心刘娟主任、影像科秉承“以患儿为中心”的诊疗理念,迅速启动多学科协作(MDT),快速制定了“双轨并行”的诊疗策略:先行采取胃肠减压、药物溶石、保护胃黏膜、精准补液等保守治疗,同时内镜检查治疗中心同步进行前置准备工作,为内镜下干预备好“绿色通道”。

经过不足24小时的积极保守治疗,效果立竿见影,胃石化为小颗粒及粉末。为明确评估治疗、排除潜在风险,内镜检查治疗中心开展急诊胃镜探查,患儿胃腔通畅,黏膜光滑,此前看到的结石已完全溶解消失,化为“无形”,幽门开放良好,未见任何梗阻迹象。此次胃镜检查,从一个“待命的治疗预案”转变为“疗效确认的金标准”。随着结石的溶解,患儿于检查当日正常排便,腹痛、腹胀症状消失,第4天痊愈出院。

此例罕见病例的成功诊治,通过无创的保守方案解决问题,不仅避免了患儿病情进展至溃疡、穿孔等风险,也避免了承受麻醉与内镜操作,充分彰显延安市中医医院儿科与多学科团队(MDT)在儿童疑难危重消化道疾病领域精准的甄别能力和高效的救治水平,标志着延安市中医医院对儿童复杂消化道疾病的综合诊治体系日益成熟,诊疗水平迈上了新台阶。(屈 晖)
责编:杜鹏飞
编辑:刘颖
