近日,宝鸡市中心医院港务区院区普通外科联合多学科团队,成功为一名罹患胃淋巴管瘤合并感染的11岁男孩实施了高难度腹腔镜二次胃部肿瘤切除手术。患儿术后恢复良好,已顺利出院。
这名患儿5岁时,曾在外院接受胃底大网膜囊状淋巴管瘤切除手术,近期复查时发现胃体多发囊性病变合并感染,出现发烧、腹痛等症状,家人紧急带孩子入住宝鸡市中心医院港务院区普通外科。

经积极抗感染治疗,有效控制感染后,宝鸡市中心医院港务院区普通外科决定为患儿再次行手术治疗,可二次手术挑战巨大:手术区域因既往手术和此次感染,必然形成广泛致密粘连,手术风险极高。
为确保手术安全实施,宝鸡市中心医院港务院区普通外科立即将此情况上报医务部。在医务部的组织下,一场由普通外科、医学影像科、麻醉手术科、儿科、肝胆胰脾外科、消化内科、重症医学科、输血科在内的多学科会诊(MDT)就此展开。专家团队针对患儿病情,共同制定出涵盖围手术期抗感染、营养支持及微创手术方案的个性化治疗策略。
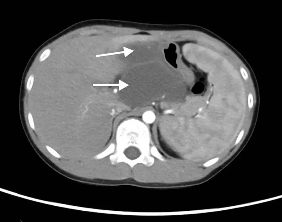
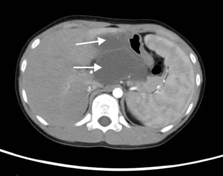
手术由普通外科闫军副主任医师和石永奎主治医师、宋二处住院医师共同完成。术中,医生发现与术前预判一致,但挑战远超预期:患儿腹腔空间狭小,病变位于胃体小弯侧网膜囊内关键区域,肿瘤直径11厘米,与肝脏、胰腺、横结肠系膜、小网膜、大网膜和后腹膜形成严重的包裹性粘连。加之病变为多囊性、质地脆弱,解剖结构异常复杂,手术分离中操作稍有不慎即可能损伤重要脏器或引发腹腔大出血。尽管手术难度增大,但在麻醉手术科和手术室护理团队的密切配合下,手术小组凭借丰富经验,耐心细致地一点一点剥离肿瘤,最终成功松解所有致密粘连,完整切除了胃部肿瘤组织,并确保术中肿瘤未破裂,最大程度降低了感染扩散风险,避免重要脏器损伤,完整保留了贲门功能。术中病理报告证实切缘阴性,标志肿瘤被彻底清除。

患儿胃部肿瘤的影像图
术后,科室医护团队遵循快速康复理念,经过精细化护理,患儿胃肠功能得以迅速恢复,饮食顺利过渡至正常,无手术并发症发生。最终病理确诊为良性胃淋巴管瘤,解除了家长的焦虑和担心。出院前,团队还详细指导了患儿后续饮食及随访注意事项。
科室小儿外科亚专业长期致力于儿童急腹症、腹股沟疝、腹部先天性疾病及腹腔肿瘤的微创手术治疗,以其精湛技术守护患儿健康成长。科室李鹏主任温馨提醒,淋巴管瘤虽多为良性,但生长于重要器官可引发严重后果。若儿童出现持续性腹痛、呕吐或生长迟缓等症状,需及时就医排查。
此次高难度手术的成功实施,不仅彰显了宝鸡市中心医院多学科协作(MDT)模式在攻克复杂、疑难儿童病例中的核心价值,更充分展示了宝鸡市中心医院小儿微创外科在处理腹腔严重粘连及二次肿瘤手术方面的先进技术水平。未来,科室也将重点深耕小儿外科领域,为更多患儿提供优质医疗服务。(供稿:宝鸡市中心医院)
责编:杜鹏飞
编辑:刘颖
